Realiza búsquedas
Obtener Adobe Flash Player
Inicio
Generalidades
Actividades
Medios
Congresos, Cursos, Noticias
Contacto
Enlaces de Interés
Extras
Información para pacientes
Actividades

Injertos y materiales biológicos en columna vertebral


Introducción
La producción de factores de crecimiento tisular derivados de plaquetas y leucocitos son la base del proceso de reparación de las lesiones. Los recientes avances tecnológicos que permiten recolectar estos factores de crecimiento de la propia sangre del paciente durante la fase perioperatoria han despertado un interés generalizado y originado una aplicación extendida de los mismos.

Imagen 1. Esquema ilustrativo de la accion de los factores de crecimiento en la formacion de hueso.

Algunos trabajos han mostrado la potencial utilidad de estos factores de crecimiento en injertos oseos.(Marx et al. Platelet-rich plasma: growth factor enhancement for bone grafts. Oral Surg. Oral Med. Oral Pathol. 85(6):638-46.1998).

El gel AGF proporciona factores de crecimiento de origen natural (PDGF y TGF-b) que utilizan la cascada fisiológica endógena para la fusión del injerto óseo, empleando una matriz de proosteon (hidoxiapatita) como soporte para el desarrollo de hueso. Se consigue asi elaborar unos cilindros de material solido que pueden emplearse en el tratamiento de defectos oseos, pseudoartrosis o incluso como injerto biologico completamente autologo.


Imagen 2. Aspecto de los cilindros de AGF. Se obtienen factores a partir de la sangre del propio paciente que, una vez procesados, se mezclan con proosteon. La mezcla tiene una consistencia elastica y una morfologia cilindrica ideal para su empleo como material de injerto intertransverso.

Las caracteristicas de este sistema son:
Proporciona factores de crecimiento a niveles terapéuticos y una liberación sostenida en el lugar de la osteogenesis
Fija los factores de crecimiento a nivel de su sitio de acción
Favorece la hemostasia efectiva y el intercambio osmotico a nivel de la lesión quirúrgica
Impide la migración o el desplazamiento del injerto y de los tejidos
Proporciona un volumen suficiente de injerto independiente de la cantidad y la calidad del hueso obtenido durante la cirugía

Se han empleado este tipo de agentes en mas de 40,000 casos hasta la fecha con excelentes resultados en análisis retrospectivos en:
Pseudoartrosis de huesos largos
Cirugía de rodilla, tobillo y pié
Cirugia articular de revisión

Numerosos estudios prospectivos aleatorios están en marcha en estas y otras patologías tales como injertos cutaneos, quemaduras, ulceras diabeticas etc.

Se han publicado series e informes de casos individuales que avalan las ventajas de los AGF en cirugía de articulaciones y pseudoartrosis de huesos largos, así como en el tobillo y el mediopié. La experiencia en fusión de la columna vertebral resulta más limitada, probablemente porla dificultad de desarrollar protocolos, seleccionar pacientes y necesidad de un seguimiento prolongado

Casuistica:

Nosotros hemos utilizadoAGF como sistema de fusión lumbar posterolateral en 50 casos, combinado con artrodesis transpedicular. La edad media de los pacientes fue de 45.7 años (con limites entre 20 y 68 años). Todos los pacientes presentaron lumbalgia (100%) y ciatalgia el 82%. En el 17% la patología fue producida por un traumatismo. El 29 %) sufrian espondilolistesis. En el 88 %) se realizó algún procedimiento de descompresión radicular.

En el 47%) se practicó una fusión a dos niveles, utilizando un injerto compuesto por hueso local y ProOsteon 500R saturado de gel AGF. Se llevaron a cabo 3 procedimientos de rescate en pacientes a los que previamente se había realizado una cirugía lumbar. El 11% de los pacientes tuvieron dos o más factores de riesgo de pseudoartrosis preoperatoriamente.

El seguimiento medio fue de 7.3 meses (rango de 3 a 12 meses). Todos los pacientes han presentado mejoría clínica (100%) en el seguimiento a corto y medio plazo. La fusión sólida se ha comprobado mediante valoración radiográfica a 1, 3, 6 y 12 meses de la cirugía. La TAC lumbar se realizó a los 6 y 12 meses del procedimiento. En 2 pacientes se observó en el postoperatorio inmediato la formación de seromas que se resolvieron de forma espontanea.


Imagen 3. Arriba a la izquierda se muestra la colocacion de un cilindro de AGF en el espacio intertransverso en un caso de artrodesis transpedicular. El cilindro tiene una morfologia y consistencia ideales para su emplazamiento en esta region. A la derecha podemos ver el injerto por fuera de las barras de la artrodesis (efectuada con sistema Spine de Aesculap)


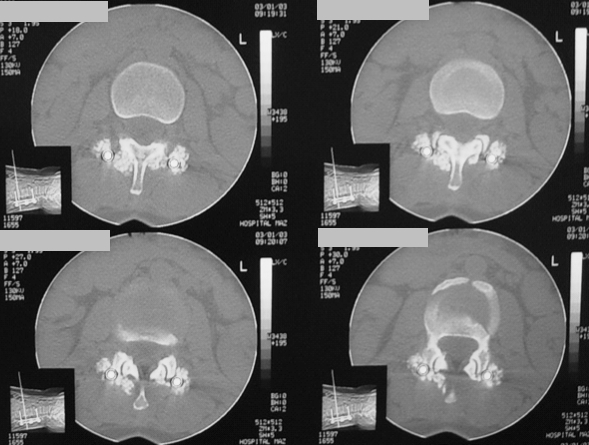
Imagen 4. TC de una artrodesis transpedicular con injerto de AGF obtenido a los 11 meses de la intervencion. Puede verse como la formacion de hueso envuelve literalmente las barras de la artrodesis, solidarizandose con el hueso vertebral.


Conclusiones:
El AGF es un derivado autólogo que no comporta riesgo de transmisión de enfermedades o de respuesta inmunogénica y que es seguro, fiable y económico en comparación con los materiales recombinantes o alógenos.

Es un medio simple, rápido y terapéuticamente eficaz de fusión vertebral. El resultado de la fusión en nuestra experiencia es comparable a los resultados observados habitualmente con el hueso de cresta ilíaca, sin las complicaciones derivadas del lecho donante.

Proporciona un abanico completo de factores de crecimiento implicados en el proceso de reparación

Usa la cascada natural de la reparación tisular

En el grupo de tratamientos de biología molecular es el más económico comparado tanto con las proteínas morfogenéticas de unión, así como con las proteínas diseñadas por ingenieria genética

No obstante, pese a lo prometedor del metodo consideramos que son necesarios futuros estudios para el confirmar definitivamente la utilidad clinica del AGF en fusión espinal, si bien nuestros resultados son muy satisfactorios.
Imagen 1
Imagen 2.
Imagen 3.
Imagen 4.